2026
일
월
화
수
목
금
토
-
KDI "건설업 부진에도 소비 개선으로 완만한 생산 증가세 유지"
핵심요약 한국개발연구원, 경제동향 발표 "석 달 연속 소비 중심 경기 개선" 국책연구기관인 한국개발연구원(KDI)이 최근 한국- 2026-01-08 00:00
- 노컷뉴스
-
정부, 신년 '녹색펀드' 600억 출자…민간 합쳐 1천억 조성
핵심요약 K-GX 뒷받침할 정책 펀드…2029년까지 총 5092억 조성 목표 국내 기업의 해외 녹색사업 수주 지원 정부가 한국- 2026-01-08 00:00
- 노컷뉴스
-
올해부터 장애인활동지원 본인부담금 세액공제 자동 반영
올해부터 장애인활동지원서비스 이용자의 본인부담금이 연말정산 간소화 서비스에 자동 반영된다. 보건복지부는 8일 장애인활동지원 본- 2026-01-08 00:00
- 노컷뉴스
-
소비자원 "식기세척기 세제, 성능·경제성은 '격차'…안전·생분해성 '양호'"
식기세척기 대중화로 식기세척기 세제 사용량이 늘어나는 상황에서 세제별 세척 성능은 오염조건·제품별로 차이가 있는 것으로 나타났- 2026-01-08 00:00
- 노컷뉴스
-
1.5kg 미만 극소저체중아 생존율 90%…10년간 계속 ↑
우리나라에서 태어날 때 체중이 1.5kg도 넘지 못하는 극소저체중아의 생존율이 지난 10년간 꾸준히 상승해 90%에 도달한 것- 2026-01-08 00:00
- 노컷뉴스
-
국세청, 소상공인 124만 명에 부가세 납부 2개월 유예한다
핵심요약 부가세 확정신고·납부, 1월 26일까지 신고해야 민생지원 '소상공인 124만 명' 납부기한 2개월 직권연장 국세청 "- 2026-01-08 00:00
- 노컷뉴스
-
과기부 "수소·CCU·태양전지 등 기후기술에 1511억원 쏟는다"
과학기술정보통신부가 수소에너지와 이산화탄소 포집·활용(CCU), 태양전지, 기후적응 등 기후변화 대응 기술 개발에 총 1511- 2026-01-08 00:00
- 노컷뉴스
-
중기부·소상공연합, '쿠팡 사태' 피해 조사 나선다
중소벤처기업부와 소상공인연합회는 8일부터 소상공인연합회 누리집에 쿠팡 사태로 인한 입점업체 피해 사실 파악을 위해 '쿠팡 사태- 2026-01-08 00:00
- 노컷뉴스
-
[오늘의 운세] 2026년 01월 08일 별자리 운세
[물병자리 1.20 ~ 2.18] 남모르는 속앓이를 할 시기이다. 타인에게는 밝은 모습만을 보이지만 사실은 어두운 면이 더 많- 2026-01-08 00:00
- YTN
-
[오늘의 운세] 2026년 01월 08일 띠별 운세
[쥐띠] 큰 것만 보지 말고 작은 것부터 실천해라. 1948년생, 숨은 실력을 십분 발휘할 기회가 오고 있다. 1960년생,- 2026-01-08 00:00
- YTN
-
[사설] 농담이라고 해도 가볍고 부적절한 대통령 언급
이재명 대통령이 7일 기자 간담회에서 시진핑 주석의 ‘역사의 올바른 편에 서야 한다’는 발언에 대해 “공자 말씀으로 들었다”며 “착하게 잘살자는 의미로- 2026-01-08 00:00
- 조선일보
-
"영수증까지 조작"…호찌민서 '성매매 알선' 韓 업주 2명 실형
[서울=뉴시스]최현호 기자 = 베트남 호찌민시에서 성매매를 알선, 조직한 혐의를 받는 한국인 식당 업주 2명에게 현지 법원이- 2026-01-08 00:00
- 뉴시스
-
"주차장 3칸 점령"…상습 대각선 주차에 주민들 분통
[서울=뉴시스]윤서진 인턴 기자 = 주차장 3칸을 한 차량이 차지한, 이른바 '주차빌런' 사연이 온라인에서 공분을 사고 있다.- 2026-01-08 00:00
- 뉴시스
-
하이닉스 76만원 돌파…'주식 고수' 전원주 투자법 재조명
[서울=뉴시스]김건민 인턴 기자 = SK하이닉스가 사상 최고가 행진을 이어가면서, 온라인상에서는 '주식 고수'로 잘 알려진 배- 2026-01-08 00:00
- 뉴시스
-
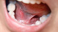
AI가 혀를 분석한다…당뇨·위암 조기 진단 가능성
[서울=뉴시스]윤서진 인턴 기자 = 의사가 환자의 혀를 살피던 전통적인 진단 방식이 인공지능(AI)과 결합해 당뇨병과 위암을- 2026-01-08 00:00
- 뉴시스
