컨텐츠로 건너뛰기
검색
한겨레 언론사 이미지

빌 게이츠 “치매, 사형선고 아닌 날 임박”…세계 최대 단백질 데이터 완성

한겨레
원문보기

빌 게이츠 “치매, 사형선고 아닌 날 임박”…세계 최대 단백질 데이터 완성

서울맑음 / 4.3 °
알츠하이머병 같은 신경퇴행성 질환의 진단과 치료에 활용할 수 있는 세계 최대 규모의 단백질 데이터세트가 작성됐다. 픽사베이

알츠하이머병 같은 신경퇴행성 질환의 진단과 치료에 활용할 수 있는 세계 최대 규모의 단백질 데이터세트가 작성됐다. 픽사베이


2021년 기준으로 전 세계에서 6900만명이 알츠하이머병, 파킨슨병 같은 신경퇴행성 질환을 앓고 있다. 게다가 이들 질환자 수는 20년마다 두 배로 증가할 것으로 예상돼 전 세계적인 보건 문제로 떠올랐다. 세계보건기구(WHO)에 따르면 치매는 이제 전 세계 사망 원인 7위로 올라섰다. 70살 이상에선 사망 원인 4위다. 그러나 아직도 질병이 일어나는 기전이 명확히 규명되지 않아 효과적인 치료법이 나오지 않은 상황이다.



신경퇴행성 질환의 진단과 치료에 활용할 수 있는 세계 최대 규모의 단백질 데이터세트가 작성됐다.



국제 공공-민간 연구협력기관인 ‘글로벌 신경퇴행성 단백질체학 컨소시엄’(GNPC)은 16일 2억5000만건 이상의 측정값이 포함된 신경퇴행성 질환 관련 단백질 데이터세트를 완성하고, 그 분석 결과를 국제학술지 네이처 메디신(Nature Medicine)에 4편의 논문으로 발표했다.



단백질 데이터는 전 세계 23개 연구기관에서 제공한 혈장, 뇌척수액 등의 생체 시료를 분석한 것이다. 연구진은 이 데이터가 주요 신경퇴행성 질환의 조기 진단 및 예후 개선에 도움을 줄 것으로 기대했다. 신경퇴행성 질환과 관련된 단백질을 분석하면 신경퇴행의 복잡한 분자적 구조를 밝혀낼 수 있다.



장기 노화의 정도(생체 연령과 실제 연령의 격차)와 알츠하이머병(AD), 전두측두엽 치매(FTD), 파킨슨병(PD)과의 연관성을 보여주는 그림. 빨간색은 장기의 노화 정도가 질병과 양의 연관성이 있음을, 파란색은 음의 연관성이 있음을 나타낸다. 크기가 큰 원은 연관성 또는 중요도가 크다는 것을 뜻한다. Nature Medicine

장기 노화의 정도(생체 연령과 실제 연령의 격차)와 알츠하이머병(AD), 전두측두엽 치매(FTD), 파킨슨병(PD)과의 연관성을 보여주는 그림. 빨간색은 장기의 노화 정도가 질병과 양의 연관성이 있음을, 파란색은 음의 연관성이 있음을 나타낸다. 크기가 큰 원은 연관성 또는 중요도가 크다는 것을 뜻한다. Nature Medicine


게이츠벤처의 빌 게이츠 회장은 네이처 메디신에 게재한 칼럼에서 “다행스럽게도 혈액 기반 진단 검사와 승인된 항체 치료법 같은 획기적인 발전이 마침내 흐름을 바꾸고 있어, 알츠하이머병 진단이 더 이상 사형 선고가 아닌 날이 그 어느 때보다 가까워졌다”며 “컨소시엄은 전 세계 과학자들이 협력할 때 무엇이 가능한지 보여주는 완벽한 사례”라고 말했다. 게이츠벤처는 존슨앤존슨과 함께 2023년 이 컨소시엄을 공동 설립했다.



2020년 알츠하이머병으로 부친을 잃은 게이츠는 “거의 대부분의 질병은 주로 가난한 사람들에게 영향을 미치지만 알츠하이머병만은 예외”라며 “이 일에 관심을 갖는 것은 개인적인 이해관계도 있지만 알츠하이머병이 가족과 의료 시스템에 미치는 정서적, 경제적 비용이 무시할 수 없을 만큼 크다는 현실적 이유도 있다”고 밝혔다.



이번 연구에서 미국 세인트루이스 워싱턴대 의대의 카를로스 크루차가 교수가 중심이 된 연구진은 알츠하이머병, 파킨슨병 및 전두측두엽 치매에서 질병 특이적 혈장 생체표지와 단백질 특징을 확인하고, 진단 및 치료 전략에 활용할 수 있는 조절 단백질과 메카니즘을 밝혀냈다.



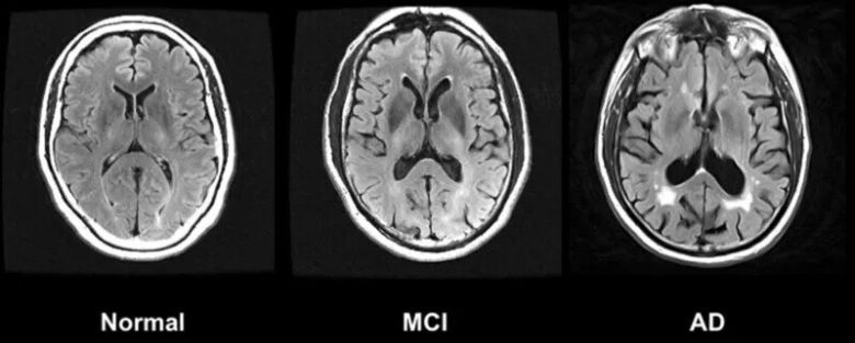
왼쪽부터 정상인, 경도인지장애(MCI), 알츠하이머병(AD)의 뇌. 위키미디어 코먼스

왼쪽부터 정상인, 경도인지장애(MCI), 알츠하이머병(AD)의 뇌. 위키미디어 코먼스




치매에 대한 새로운 흐름 만들어낼 시점





오스트레일리아 시드니대의 케이틀린 피니 교수가 중심이 된 연구진은 알츠하이머병 위험을 높이는 ‘APOE ε4’ 대립유전자 보유자에게서 나타나는 뇌척수액 및 혈장 단백질의 특징을 확인했다. 연구진은 이 변이가 알츠하이머병뿐 아니라 파킨슨병, 전두측두엽 치매 및 근위축성 측색 경화증을 포함한 다른 신경 퇴행성 질환에도 관여하는 것으로 나타났다고 밝혔다.



미국 스탠퍼드대의 토니 와이스-코레이 교수가 중심이 된 연구진은 인지 기능과 상관관계가 있는 단백질이 나이가 들면서 어떻게 변화하는지 밝혀냈다. 연구진은 뇌척수액과 혈장의 단백질 수치 변화와 인지 건강의 연관성을 밝히는 새 단서가 될 것으로 기대했다.



연구진은 신경퇴행성 질환 연구를 가속화하기 위해선 국제 협력과 데이터 공유가 중요하다고 강조했다. 컨소시엄은 7월15일부터 전용 플랫폼을 통해 연구자들에게 이번에 완성한 데이터를 공개한다고 밝혔다. 또 앞으로 최소 1만개의 생체 시료를 추가하고 다양한 지역의 표본과 생활 방식, 여러 플랫폼에서 얻은 단백질체학 데이터를 포함해 더 풍부한 정보를 담게 될 2단계 연구 작업을 진행하고 있다고 덧붙였다.



게이츠는 그러나 “최근 미국 국립보건원(NIH)과 다른 정부 기관의 예산 삭감으로 인해 이번(GNPC)과 같은 데이터 세트의 핵심 구성 요소인 최첨단 생화학 지문 데이터 공급이 중단될 위기에 처해 있다”고 우려했다. 그는 이번 연구에 쓰인 생체시료의 상당수가 정부 지원금을 받는 프로젝트에서 수집된 점을 지적하면서 “치매에 대한 새로운 흐름을 만들어낼 시점에 서 있는 지금이야말로 연구를 중단해서는 안 되는 시기”라고 강조했다.



*논문 정보



The Global Neurodegeneration Proteomics Consortium: biomarker and drug target discovery for common neurodegenerative diseases and aging. Nat Med (2025).



https://doi.org/10.1038/s41591-025-03834-0



곽노필 선임기자 nopil@hani.co.kr



▶▶[한겨레 후원하기] 시민과 함께 민주주의를!

▶▶민주주의, 필사적으로 지키는 방법 [책 보러가기]

▶▶한겨레 뉴스레터 모아보기