매년 300~400명 루게릭병 환자 발생
구음장애 있으면 호흡기능 평가 한계
흉부 CT 분석해 기능 측정 지표 개발
국내 연구진이 흉부 컴퓨터단층촬영(CT) 영상을 분석해 루게릭병 환자의 호흡 기능을 평가할 수 있는 새로운 지표를 만들었다. 루게릭병 환자는 폐활량 검사로 측정한 호흡 기능에 따라 치료 방침을 결정하지만, 구강안면 근육이 약해져 구음장애가 있는 환자에게선 폐활량 검사의 정확도가 떨어져 보완이 필요했다. CT 영상을 통한 호흡기능 평가는 이러한 한계를 극복할 수 있을 것으로 기대된다.
서울대병원 신경과 최석진·성정준 교수와 영상의학과 박창민·최규성 교수가 참여한 공동 연구진은 흉부 CT 영상을 통해 폐와 호흡근육의 부피를 분석하는 방식으로 루게릭병 환자의 호흡 기능을 평가할 수 있는 새로운 검사 지표를 개발했다고 23일 밝혔다.
루게릭병은 뇌와 척수의 운동신경세포가 점차 파괴되는 치명적인 신경퇴행성 질환이다. 병이 진행될수록 호흡근육이 마비되며, 발병 3, 4년 후 호흡 부전으로 사망에 이른다. 이 때문에 루게릭병 환자의 호흡기능 평가는 치료 방침을 정하는 근거로 쓰인다. 폐활량 검사는 측정기를 입에 물고 숨을 깊게 들이쉰 다음 한 번에 힘껏 내쉴 수 있는 공기량을 측정하는 검사다. 하지만 말‧발음이 부정확해지는 구음장애가 있는 경우 검사 정확도가 떨어져 이를 대체할 새로운 호흡 기능 검사법이 필요했다.
구음장애 있으면 호흡기능 평가 한계
흉부 CT 분석해 기능 측정 지표 개발
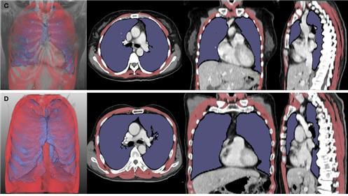
5개월(위)과 43개월(아래) 생존한 루게릭병 환자의 흉부 컴퓨터단층촬영(CT) 영상 분석 내용. 위의 환자는 폐 용적 지수(LVI·보라색)와 호흡근 용적 지수(RMI·빨간색)가 아래 환자보다 낮게 나타났다. 서울대병원 제공 |
국내 연구진이 흉부 컴퓨터단층촬영(CT) 영상을 분석해 루게릭병 환자의 호흡 기능을 평가할 수 있는 새로운 지표를 만들었다. 루게릭병 환자는 폐활량 검사로 측정한 호흡 기능에 따라 치료 방침을 결정하지만, 구강안면 근육이 약해져 구음장애가 있는 환자에게선 폐활량 검사의 정확도가 떨어져 보완이 필요했다. CT 영상을 통한 호흡기능 평가는 이러한 한계를 극복할 수 있을 것으로 기대된다.
서울대병원 신경과 최석진·성정준 교수와 영상의학과 박창민·최규성 교수가 참여한 공동 연구진은 흉부 CT 영상을 통해 폐와 호흡근육의 부피를 분석하는 방식으로 루게릭병 환자의 호흡 기능을 평가할 수 있는 새로운 검사 지표를 개발했다고 23일 밝혔다.
루게릭병은 뇌와 척수의 운동신경세포가 점차 파괴되는 치명적인 신경퇴행성 질환이다. 병이 진행될수록 호흡근육이 마비되며, 발병 3, 4년 후 호흡 부전으로 사망에 이른다. 이 때문에 루게릭병 환자의 호흡기능 평가는 치료 방침을 정하는 근거로 쓰인다. 폐활량 검사는 측정기를 입에 물고 숨을 깊게 들이쉰 다음 한 번에 힘껏 내쉴 수 있는 공기량을 측정하는 검사다. 하지만 말‧발음이 부정확해지는 구음장애가 있는 경우 검사 정확도가 떨어져 이를 대체할 새로운 호흡 기능 검사법이 필요했다.
이러한 문제 해결을 위해 연구진은 인공지능(AI)을 이용, 루게릭병 환자의 폐와 호흡근육 위축 정도를 나타내는 폐 용적 지수(LVI)와 호흡근 용적 지수(RMI)를 개발했다. 그런 다음 루게릭병 환자 261명의 흉부 CT 영상을 분석, 루게릭병 병기‧생존기간과의 연관성을 확인했다. RMI는 폐와 호흡근의 부피를 키의 제곱으로 나눈 값이다.
연구진에 따르면, 폐·호흡근 용적 지수는 루게릭병 병기(1~4기)가 높아질수록 유의미하게 감소했고, 해당 지수를 통한 환자의 예후 평가 정확도는 기존 폐활량 검사와 큰 차이가 없었다. 폐·호흡근 용적 지수가 낮은 환자군은 높은 환자군보다 호흡근육 위축이 뚜렷했으며, 기관절개술을 받거나 사망에 이르는 시점도 빨랐다. 기관절개술은 호흡근육이 약해진 루게릭병 환자에게 시행하는 것으로, 목 부위를 절개해 인공 기도관을 삽입하는 수술이다.
최석진 교수는 “흉부 CT 영상 분석 기술이 루게릭병 진료 현장에 도입되면 환자의 진단과 그에 따른 적절한 치료방법을 결정하는 수단으로 활용될 수 있을 것”이라고 말했다. 국내에선 매년 약 300~400명의 루게릭병 환자가 발생한다. 평균 발병 연령은 61세로 60대 초반에 집중돼 있으며, 신규 환자의 남녀 성비는 1.6대 1로 남성이 더 높다.
변태섭 기자 libertas@hankookilbo.com
