'돼지고기 촌충'이라 불리는 갈고리촌충의 유충은 혈액을 타고 뇌에 침범해 두통과 발작을 일으키기도 한다. 자료사진[유튜브 Chubbyemu] |
[헤럴드경제=김보영 기자] 체중 감량에 어려움을 겪던 20대 여성이 ‘기생충 다이어트’를 하려다 기억을 잃는 등 끔찍한 부작용을 겪었다. 전문의는 의식을 잃고 쓰러질 경우 자칫 생명을 잃을 수도 있다고 경고했다.
최근 영국 매체 데일리데일에 따르면 암 전문의 버나드 쉬 박사는 20대 여성의 실제 사례를 통해 인터넷에서 암암리에 퍼지고 있는 ‘촌충 알약’ 다이어트의 위험성을 알렸다.
암 전문의 버나드 쉬 박사 [유튜브 Chubbyemu] |
‘TE’라는 이름으로만 알려진 21세 여성은 식이조절과 운동으로 살을 빼기 위해 애쓰던 중 소셜미디어에서 촌충 다이어트에 관한 글을 발견했다. ‘논란이 있는’, ‘금지된’이라는 경고 문구는 오히려 여성의 호기심을 자극했다. 놀라운 성공 사례와 전후 비교 사진에 혹한 여성은 다크웹에서 가상 화폐를 이용해 촌충이 들어있는 캡슐을 구매했다.
처음 캡슐을 먹었을 당시에는 기대했던 것처럼 체중이 줄어들기 시작했다. 하지만 며칠이 지난 뒤 여성의 눈에는 이상한 광경이 들어왔다. 화장실에서 용변을 보고 나서 물을 내리려고 보니 황갈색의 사각형 조각들이 둥둥 떠다니고 있었다. 우려되긴 했지만 여성은 지방이 빠져나가고 있는 증거라고 생각했다.
그러나 부작용으로 의심되는 증상은 점점 심각해졌다. 몇 주 후에는 턱 아래에 정체불명의 혹이 생겼다. 급기야 혹을 눌러보다가 기절하는 일까지 벌어졌다. 몇 시간이 지나 깨어난 후에는 무언가가 눈을 두개골 밖으로 밀어내는 것 같은 두통이 느껴졌다.
유튜브 [Chubbyemu] |
무언가 잘못되고 있음을 감지한 여성은 병원 응급실을 찾았다. 검사 결과 뇌척수액 압력이 비정상적으로 높게 나타났다. 의료진은 그 원인이 무엇인지 찾기 위해 여러 검사를 했지만 눈에 띄는 점은 없었다. 의료진은 바이러스 감염으로 인한 것으로 추정하고 약을 처방했다.
하지만 여성이 집에 돌아간 뒤에도 증상은 전혀 나아지지 않았다. 쉬 박사는 “낮 중에 갑자기 깨어나서 지난 몇 시간 동안의 일을 전혀 기억하지 못하는 경우도 있었다”고 말했다.
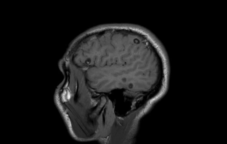
상황이 심각해지자 의료진은 뇌 상태를 면밀히 관찰해 보기로 했다. MRI 검사 결과 목과 얼굴, 혀에서 이상한 반점이 발견됐다. 간과 척추 등 온몸 곳곳에서도 비슷한 병변이 관찰됐다.
'TE'라는 여성의 뇌 MRI 결과 이상한 반점이 발견됐다. [유튜브 Chubbyemu] |
의료진은 식단과 생활습관의 문제를 의심하며 여성에게 무엇을 먹었는지 물었다. 여성은 처음에는 ‘감자칩’을 먹었다고 얼버무렸지만 결국 촌충을 복용했다고 실토했다. 여성이 꺼낸 캡슐통에는 ‘사기나타’(Saginata)라는 라벨이 붙어있었다.
태니아 사기나타 기생충은 인간이 덜 익은 소고기를 먹었을 때 감염될 수 있는 기생충이다. 이 기생충이 장으로 들어가면 유충이 장에 달라붙는 성충으로 성장하게 된다. 여성이 변기에서 본 황갈색 물체는 사실 임신한 편절이었다고 쉬 박사는 설명했다. 성체 촌충의 일부인 편절에는 수만 개의 알이 들어있는데, 배변 때 몸 밖으로 배출된다.
하지만 여성의 몸에 소 촌충만 있는 것이 아니었다. 극심한 두통을 일으킨 것은 바로 돼지고기에서 흔히 발견되는 갈고리촌충이었다. 이 촌충의 알은 장에서 빠져나와 피부에 딱딱한 혹처럼 느껴지는 낭종을 형성한다. 유충은 일반적으로 해롭지 않지만 뇌로 침투하면 두통과 발작 등 심각한 증상을 유발할 수 있다.
쉬 박사는 뇌에서 낭종을 제거하더라도 수십 년이 지나서 갑자기 영구적인 시력 저하가 생기거나 성격 변화, 인지 기능 저하를 겪을 수 있다고 설명했다.
갈고리촌충으로 인해 목에 낭종이 생긴 사례 [유튜브 Chubbyemu] |
의료진은 기생충 마비시키고 제거하는 약을 복용하도록 지시하고 뇌의 염증 수치를 낮추기 위한 스테로이드를 투여했다. 3주간 입원 후 뇌에서 알의 흔적이 발견되지 않아 여성은 퇴원할 수 있었다. 6개월 추적 조사에서도 증상이 발견되지 않았으며 여성은 현재 건강한 방식으로 체중을 감량하고 있는 것으로 전해졌다.
쉬 박사는 "건강한 인간이라면 다이어트와 운동을 통해 체중을 감량하는 것이 가능하다”며 “일부러 체내에 미생물을 키우는 것보다 훨씬 위험성이 적다”고 조언했다.
bbo@heraldcorp.com
Copyright ⓒ 헤럴드경제 All Rights Reserved.
